Latest Contribution
Upper tract abnormalities
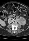
Case 1 Figure 1. A 26-year-old female presents to A&E with loin pain. What do the CT images in Figures 1 (left, centre and right) show? What is the prevalence of the congenital anomaly in the general population, and is...

