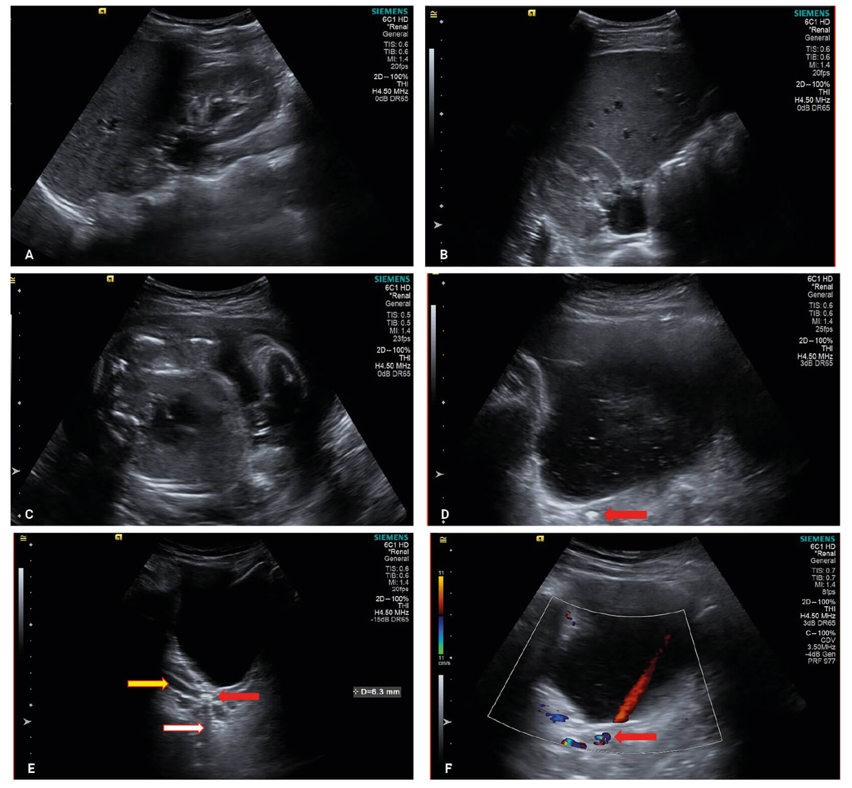
Kidney stones in pregnancy
Urolithiasis related complications are estimated to affect between 1:200 and 1:2000 pregnancies [1,2]. With around 825,000 conceptions in England and Wales in 2021 [3], this represents an uncommon but not rare occurrence. What is normally a straightforward pathway for a...
Full Details-
SmashUrology has launched a dedicated FRCS Urol Part 2 viva preparation platform to help...
-
The Association for Continence Professionals Annual Conference and Networking Exhibition takes place 11 –...
-
Following the launch of a groundbreaking joint initiative between EDX Medical and The Graham...
-
Doctor Banan Osman, Consultant Urologist Surgeon at Heartlands and Solihull Hospitals, is featured in...
-
The Urology Foundation launches bold #NameIt awareness campaign tapping into surprising creativity of men’s...
-
Broadcaster and actor Grant Stott is urging men across Scotland to start a simple...
Urolithiasis 2 – extracorporeal shockwave lithotripsy
- Click for Part 1 on this topic - Case scenario A 37-year-old male presents to A&E with 12 hours of intermittent, severe, left-sided loin to groin pain and multiple episodes of vomiting. Urine dipstick shows 2+ blood but no...
Full Details-
The workshop will include a complimentary overnight stay, providing the opportunity for an evening round-table discussion, followed by live surgery the next morning, with departure scheduled at lunchtime. 18:00 arrival, 13:00 departure roughly
-
Royal College of Surgeons Edinburgh Foundations in Surgical Leadership
-
The workshop will include a complimentary overnight stay, providing the opportunity for an evening round-table discussion, followed by live surgery the next morning, with departure scheduled at lunchtime. 18:00 arrival, 13:00 departure roughly
-
The Royal College of Surgeons Future of Surgery Festival
Things I wish I knew before starting on-call as an CST in urology
When I started my first core surgical trainee (CST) job in urology, I had no prior exposure or experience. Quickly I realised the significant step up and responsibility involved. Covering multiple sites overnight is something that requires organisation and awareness...
Full Details-
Clinical practice is in the midst of a profound digital transformation with a new...
-
Podcasts, downloadable or streamable digital audio / video shows, have surged in popularity over...
-
In this series of articles, I show you some of the exhibits contained in...
-
In this series of articles, I am going to show you some of the...
-
Matthew Bultitude. Can you tell us a little bit about what led you into...
-
Carmel Ramage. Can you tell us a little bit about what first attracted you...
Product Guide
-
Partial nephrectomy has become the standard of care in the management of small renal...
-
A 75-year-old male with a history of prostate adenocarcinoma (T3b/T4 N1 M1b, Gleason 4+3)...
-
Congenital non-visualisation of penis is a rare form of buried penis. It affects the...
-
Most testicular cancers present with a painless lump on the testes, and most are...
-
Radical surgical treatment of prostate cancer has become minimally invasive owing to robotic assisted...
-
Treatment of prostate cancer in renal transplant recipients is challenging due to a lack...































