JOURNALS REVIEWED: EUROPEAN UROLOGY – May 2020 (ongoing)
Latest Contribution
Prostatic artery embolisation versus sham
Randomised trials with use of sham is uncommon in the surgical literature, which makes this paper more interesting. Many different treatments are available for treating lower urinary tract symptoms / benign prostatic hyperplasia (LUTS / BPH). Prostatic artery embolisation (PAE)...
One cycle of adjuvant chemotherapy in tumours of the testis
Following a radical orchiectomy, current UK practice for newly diagnosed, high-risk, stage 1 nonseminomatous or combined germ cell tumours of the testis (NSCGCTT) is either two cycles of adjuvant chemotherapy with bleomycin, etoposide, cisplatin (BE360Px2) or surveillance with BE500Px3 on...
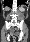
Retroperitoneal sepsis
Case 1 An 80-year-old woman presented with history of recurrent and recent cystitis, low grade pyrexia, abdominal and back pain, and pain on movement of the left hip which was observed to be flexed and externally rotated. What is the...

