Urolithiasis related complications are estimated to affect between 1:200 and 1:2000 pregnancies [1,2]. With around 825,000 conceptions in England and Wales in 2021 [3], this represents an uncommon but not rare occurrence. What is normally a straightforward pathway for a ureteric stone, suddenly takes on nuance and additional risk in both diagnosis and management.
Our first choices – CT of kidney, ureter, bladder (KUB) for diagnosis, and either stent, extracorporeal shockwave lithotripsy (ESWL) or ureteroscopy for management are made more challenging or are contraindicated by foetal risk and maternal anatomy [4,5].
This article will review the current literature and guidelines to provide an easily accessible summary. We will explore radiation exposure, mechanisms of harm to the foetus, and risk levels depending on trimester as this is often an area of apprehension or incomplete understanding. Only by fully understanding the evidence-based hazards and benefits can we offer a comprehensive risk-based approach to our patients.
Aetiology and pathophysiology
There are protective and predisposing factors to stone formation during pregnancy [6]. While most traditional teaching held that these factors balanced each other and there was no significant difference in incidence [7], there is variability in this evidence and several studies have now suggested that the incidence of first-time stone formation may be higher in pregnancy [8].
Urine biochemistry is altered in several ways. Increased bicarbonate excretion (due to compensation for respiratory alkalosis caused by progesterone-induced hyperventilation) leads to more alkaline urine and increased calcium phosphate stone formation. Placental 1,25 dihydroxycholecalciferol upregulates gut calcium absorption. Increased total urinary excretion of solutes is also due to increased plasma volume with a consequent glomerular filtration increase of around 50% [7,9].
Hormonal influences of increased progesterone cause ureteric smooth muscle relaxation. This potentiates urinary stasis, which, in the presence of a supersaturated solution, aids stone formation [10]. This relaxation is also likely responsible for stone migration into the ureter with a two-fold risk increase of ureteric stones detected in pregnancy [11]. This physiological change may assist pregnant women in rates of spontaneous stone passage. However, there has been conflicting evidence on just how high the rates are. Quoted evidence shows this from 48–80% [12,13], with some concern that initial misdiagnosis may reflect some of the higher figures [14].
Mechanical compression from the increasingly gravid uterus can cause compression of the ureters, more significantly the right due to the rotation of the uterus and the degree of compressive protection offered by the sigmoid colon to the left. This leads to increased stasis of urine with mechanical access to the ureters becoming more difficult with time in the case of the need to perform ureteroscopy [15].
Clinical presentation
The presentation of ureteric stones in pregnancy is not always obvious as it has diagnostic overlap with many pregnancy-related conditions, such as nausea and vomiting, abdominal / flank pain and urinary symptoms. A high degree of suspicion with these symptoms when paired with haematuria is essential to narrow the diagnostic field [15].
In practice, the investigation of a suspected ureteric stone is generally led by the time and day of presentation of the patient and clinical status. Whilst guidelines demand non-ionising investigations as first-line [5], it is important to not defer the definitive investigation and consequent treatment of the clinically unstable patient if this is unavailable. Delaying decompression of obstructed sepsis due to concern about radiation exposure or operative intervention may be fatal to both mother and / or unborn child [11,16]. It is for these patients where strong multidisciplinary work is needed, involving urologist, obstetrician, radiologist and, if necessary, the intensive care team.

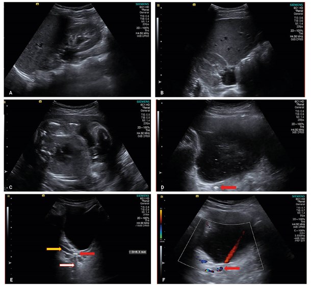
Right hydronephrosis secondary to a 6mm distal ureteric stone during pregnancy.
A and B – Right hydronephrosis.
C – Gravid uterus with 25-week-old foetus.
D – Stone in right distal ureter (red arrow).
E – Stone demonstrating twinkle artefact. Ureteric Jet visible in bladder.
F – Stone (red arrow) with post-acoustic shadow (white arrow) and upstream ureteric dilatation (yellow arrow).
The patient perspective
I am very pleased to approve the use of my anonymised images for this magazine, and to take this unique opportunity to add my personal perspective of having kidney stones during pregnancy.
I will never forget those bleak moments: I was 25 weeks pregnant, in severe agony, and with the strangest of symptoms. A brief ultrasound showed nothing; I felt humiliated as I was dismissed as a hypochondriac, first-time-pregnant woman fussing over an ordinary UTI.
The actual diagnosis – a 6mm obstructing ureteric stone – was detected with ultrasound by an incredible radiologist at UCLH whilst under the care of Mr Daron Smith and his phenomenal team. Even then, my options seemed dismal. My pain meant doing nothing wasn’t a possibility; a stent or nephrostomy sounded awful, and not very helpful either. Fortunately, I was in the right window of time in pregnancy where I could have a ureteroscopy and definitive stone treatment, performed with sensitivity, care and incredible expertise. My ‘stone baby’ is now a strapping lad of 10, busy with schoolwork and friends!
On behalf of pregnant patients, I would like to give a tremendous ‘thank you’ to every urologist reading these words. You see us at our most vulnerable moments, worried and in pain, but in ‘real-life’ we are accomplished individuals with productive lives. Treating a patient in pregnancy is a ‘double win’, especially when delivered with compassion and caring – and for that we will remain forever grateful and never forget you!
Imaging modalities
Ultrasound is recommended as first-line investigation in a suspected obstructing stone in pregnancy as it is simple and safe. It can detect signs of obstruction such as hydronephrosis and in slim patients the ureter may be able to be tracked along most of its length (transvaginal scans can examine the distal ureter) [17] and surrogate markers of obstruction such as ureteric jet in the bladder may be able to be seen [18].
Unfortunately, ultrasound is very operator dependent and generally has a low sensitivity (34–95.2%) and specificity (86%) [17]. The ureter is often hydronephrotic during pregnancy for the reasons outlined previously and pathological differentiation can sometimes be challenging, although if the ureter is dilated below the pelvic brim, there is strong association with an obstructing stone [19].
Additional calculations such as the resistive index (peak systolic velocity of intrarenal blood flow subtracted by the end-diastolic velocity divided by the peak systolic velocity) are being used to improve the diagnosis of ureteric obstruction [20].
MRI (without contrast) is increasingly used as second-line investigation with examination of T2 weighted images showing ureters and kidneys, with stones showing as signal voids. Again, MRI has no known documented risks for both patient and foetus, although drawbacks are cost, time-intensity and availability [21]. MRI can struggle to differentiate small stones; flow void artefacts and spatial misregistration between slices may occur that may make diagnostic differentiation difficult in these cases [22]. Quoted sensitivity and specificity rates for a <1.5 Tesla machine are 77% and 83%, respectively [17].
Both the above imaging modalities tend to rely on first order effects of stones – for example, hydronephrosis in ultrasound or examining the abrupt taper point of a hydronephrotic ureter to a signal void in MRI. This is combined with thorough history and examination, blood and urinary analysis to give the diagnosis. When the main presentation is pain, and the patient is clinically stable there is a wider diagnostic window of time in which to make an informed conclusion, however this extra time is occasionally not a luxury afforded.
CTKUB (low dose) is our mainstay of investigation for detecting stones as it is fast, readily available, has a very high sensitivity and specificity (>95% and >98% respectively) [17]). However, there is the obvious issue with ionising radiation being a strong risk factor for both teratogenic risks and lifetime risk for malignancy.
CTKUB is indicated only in the best interests of the health of the mother and child. This normally means if either the patient is critically unstable, the presentation time or location led to ultrasound or MRI being unavailable or contraindicated, or the previous examinations are inconclusive. Careful risk counselling with the patient needs to be performed, ideally by a combination of urologist, radiologist and obstetrician.
The American College of Obstetricians and Gynaecologists are supportive for low-dose CT (normally defined as <3.5mSv – this is compared to a standard protocol of up to 10mSv) in pregnancy if used cautiously and in carefully selected patients who are well consented [23]. It allows these patients to progress rapidly to potentially lifesaving treatment options.
Radiation risks
A significant amount of our understanding of the effects of radiation on unborn and young children comes from longitudinal cohort studies in Japan following the nuclear bombing of Hiroshima and Nagasaki in 1945 [24]. Modern studies are limited for obvious ethical reasons and so this area is one of cautious extrapolations to translate it to the effects of modern diagnostic imaging.
The effects of radiation are either deterministic (linked to cause and effect with a threshold below which they will not occur and over which the effect will rise in line with increasing dose exposure) or stochastic (where chance radiation effects are observed, here there is no lower threshold, but the risk increases with dose) [25].
The general concerns of ionising radiation are typically four-fold, the first three are deterministic. The first is viability and likelihood of the loss of the pregnancy. Second is mutative effects on the foetus that will be apparent at birth or through early childhood e.g., anatomical malformation. Third is the risk of disturbances in growth and development e.g., growth restriction or intellectual disability. Fourth is stochastic and is the longer-term risk of carcinogenesis leading to lifetime increased risk of cancers [26]. It is important to note that without additional foetal radiation exposure, the background risk for birth defects is 3% [27], miscarriage is 15% [28] and lifetime cancer risk is 25–50% [29].
The dose of radiation in the medical setting is typically described in one of two units. Gray (Gy) measures the physical amount of energy deposited by radiation in a substance, without considering the biological effects (i.e., how much energy absorbed – energy per unit mass). Sievert (Sv) measures the biological effect of that absorbed energy, accounting for the type of radiation and the sensitivity of the tissue affected (i.e., how dangerous absorbed energy is to living tissue – energy per kilogram of tissue) [30]. Typical values of everyday radiation doses as well as imaging modalities can be estimated as follows [31,32]:
- One year background radiation living in London – 3mSv
- One year background radiation living in Cornwall (due to the increasingly radon producing granite bedrock) – 6.9mSv
- Transatlantic flight – 0.08mSv
- XR KUB – 0.7mSv • CTKUB – standard protocol – 6-10mSv
- CTKUB – low dose protocol – ~3.5mSv
- CTKUB – ultralow dose protocol – 1-2mSv.
Radiation risk is dependent on gestational age and total dose of radiation, with the most severe effects coming pre-implantation, where, in laboratory animal studies 100mGy can cause pre-implantation death. As the foetus ages, its ability to withstand radiation without deleterious effect increases with the first trimester having understandably the greatest risk. Weeks three to seven, with rapid foetal cellular differentiation and proliferation of organogenesis is especially vulnerable [33].
For deterministic risks, consensus for absolute risk threshold is 50mGy, below this there is not thought to be any adverse effect. Up to 50–100mGy in the second and third trimester are generally considered safe. Once the dose reaches greater than 100mGy, the effects become significant [34]. In the first trimester 200mGy can cause congenital malformations whilst 60–310mGy can cause intellectual disability. Second trimester damage with the same dose is less pronounced with 13–21 IQ points loss per 1000mGy (compared to 25–31 in the first trimester). At third trimester, the dose needed to produce noticeable effects is so large it would likely never occur in diagnostic medical imaging [26].
Stochastic effects are noted from much lower doses of radiation in some studies where even 10–20mGy has shown to increase the incidence of childhood cancer such as leukaemia by a factor of 1.5–2 [35]. However, other resources such as the atomic bombing cohort have not shown a significant increased rate of cancer [36]. A conservative approach is therefore taken to ionising radiation due to any potential risk.
Management
Conservative management is the mainstay of treatment with good rates of stone passage due to hypotonic ureter and large volume of urine produced – these are similar to women who aren’t pregnant at 48–84% [11,14,37]. It is important to support these patients with adequate analgesia (nonsteroidal anti-inflammatory drugs should generally be avoided, especially after 20 weeks, due to the risk of closure of ductus arteriosus and oligohydramnios [38]) for example with short-course, low-dose opiates e.g., morphine sulphate and paracetamol.
If required, antibiotic selection should be penicillin or cephalosporin due to the risk of harm with alternatives e.g., aminoglycosides (oto/nephro/neurotoxicity), nitrofurantoin (foetal anaemia), trimethoprim (neural tube defects) and tied closely to urine culture and sensitivity [39]. Method of delivery should consider the maternal and foetal condition and should be discussed with the microbiology department.
If needed, intervention can be divided into two groups. First, those who need decompression immediately due to a septic obstructed system, or those at risk of complete obstruction e.g., an obstructed single kidney, bilateral ureteric stones, etc. These are managed either with a percutaneous nephrostomy or retrograde stent. Secondly, patients who require relief of renal colic (itself a 10% increased risk factor for spontaneous delivery [40]), a non-passing stone or those with persistent obstructive renal dysfunction are managed with either decompression as above, or primary treatment typically with uretero-renoscopy [4,41]. ESWL is contraindicated as it has been shown to cause foetal death in animal studies. Percutaneous nephrolithotomy (PCNL) is not commonly used due to the need for difficult positioning, fluoroscopy and increased risk of maternal complication [11].
Due to the high levels of excretion of calcium oxalate / phosphate, stents and nephrostomies encrust rapidly and should ideally be changed every six weeks for the duration of the pregnancy. If the patient is in the early stages of pregnancy, careful risk assessment will need to consider the number of stent changes required and potentially a more conclusive procedure. Stents after a definitive procedure should remain in for the shortest time (if at all) and removed via strings in 48–72 hours if clinically safe to do so [42].
Ureteroscopy is historically performed in the second trimester as the foetus is more robust regarding operative stresses and any potential limited fluoroscopy. This dosing can be lowered by careful shielding of the mother’s abdomen, C-Arm manipulation and minimal fluoroscopy [43]. Up to 80% of cases can be performed with no radiation dose using alternatives such as ultrasound [44].
It is also important to make careful plans for any elective operation, as it will require a skilled endourologist as well as an obstetric team on standby in the event of foetal distress and the need to deliver via caesarean section (initiation of pre-term labour is a 4–5% risk) [43]. Third trimester ureteroscopy is historically avoided due to concern about access around a gravid uterus, however with technologically advanced, small digital scopes e.g., 7.5Fr flexible ureteroscope, this is now less of a concern [45].
In the event of a temporising stent or nephrostomy, a rigorous follow up during the remaining pregnancy should be made, with clear red flags and easy access for the mother to contact services or return. The stone should be planned to be treated soon after the pregnancy has concluded following CTKUB to check that the stone has not passed during the intervening time.
Conclusion
Ureteric stones in pregnancy present a unique set of diagnostic and management restrictions for what would normally be a relatively straightforward pathology. It is important to consider the risks of investigations and treatment, while not delaying definitive diagnosis. Close teamwork with radiologist, obstetrician and urologist is vital with the fully informed consent and involvement of the mother to achieve satisfactory outcomes.
References
1. Semins MJ, Matlaga BR. Management of stone disease in pregnancy. Curr Opin Urol 20102;20(2):174–7.
2. Rosenberg E, Sergienko R, Abu-Ghanem S, et al. Nephrolithiasis during pregnancy: characteristics, complications, and pregnancy outcome. World J Urol 2011;29(6):743–7.
3. Office for National Statistics.
https://www.ons.gov.uk/peoplepopulation
andcommunity/birthsdeathsandmarriages/
conceptionandfertilityrates/bulletins/conceptionstatistics/2021
[accessed 29 May 2025].
4. Dai JC, Nicholson TM, Chang HC, et al. Nephrolithiasis in pregnancy: treating for two. Urology 2021;151:44–53.
5. Somani BK, Dellis A, Liatsikos E, Skolarikos A. Review on diagnosis and management of urolithiasis in pregnancy: an ESUT practical guide for urologists. World J Urol 2017;35(11):1637–9.
6. Coe FL, Parks JH, Lindheimer MD. Nephrolithiasis during pregnancy. NEJM 1978;98(6):324–6.
7. Gertner JM, Coustan DR, Kliger AS, et al. Pregnancy as state of physiologic absorptive hypercalciuria. Am J Med 1986;81(3):451–6.
8. Thongprayoon C, Vaughan LE, Chewcharat A, et al. Risk of symptomatic kidney stones during and after pregnancy. Am J Kidney Dis 2021;78(3):409–17.
9. Maikranz P, Lindheimer M, Coe F. Nephrolithiasis in pregnancy. Bailliere’s Clin Obstet Gynaecol 1994;8(2):375–86.
10. Cheung KL, Lafayette RA. Renal physiology of pregnancy. Adv Chronic Kidney Dis 2013;20(3):209–14.
11. Meher S, Gibbons N, DasGupta R. Renal stones in pregnancy. Obstet Med 2014;7(3):103–10.
12. Stothers L, Lee LM. Renal colic in pregnancy. J Urol 1992;148(5):1383–7.
13. Parulkar BG, Hopkins TB, Wollin MR, et al. Renal colic during pregnancy: a case for conservative treatment. J Urol 1998;159(2):365–8.
14. Burgess KL, Gettman MT, Rangel LJ, Krambeck AE. Diagnosis of urolithiasis and rate of spontaneous passage during pregnancy. J Urol 2011;186(6):2280–4.
15. Lewis DF, Robichaux AG, Jaekle RK, et al. Urolithiasis in pregnancy. Diagnosis, management and pregnancy outcome. J Reprod Med 2003;48(1):28–32.
16. Zhou Q, Chen WQ, Xie XS, et al. Maternal and neonatal outcomes of pregnancy complicated by urolithiasis: a systematic review and meta-analysis. J Nephrol 2021;34(5):1569–80.
17. White WM, Johnson EB, Zite NB, et al. Predictive value of current imaging modalities for the detection of urolithiasis during pregnancy: a multicenter, longitudinal study. J Urol 2013;189(3):931–4.
18. Asrat T, Roossin MC, Miller EI. Ultrasonographic detection of ureteral jets in normal pregnancy. Am J Obstet Gynecol 1998;178(6):1194–8.
19. MacNeily AE, Goldenberg SL, Allen GJ, et al. Sonographic visualization of the ureter in pregnancy. J Urol 1991;146(2):298–301.
20. Atar M, Bozkurt Y, Soylemez H, et al. Use of renal resistive index and semi-rigid ureteroscopy for managing symptomatic persistent hydronephrosis during pregnancy. Int J Surg 2012;10(10):629–33.
21. Pedrosa I, Zeikus EA, Levine D, Rofsky NM. MR imaging of acute right lower quadrant pain in pregnant and nonpregnant patients. Radiographics 2007;27(3):721–43.
22. Tang Y, Yamashita Y, Namimoto T, et al. The value of MR urography that uses HASTE sequences to reveal urinary tract disorders. AJR Am J Roentgenol 1996;167(6):1497–502.
23. ACOG Committee on Obstetric Practice. ACOG Committee Opinion. Number 299, September 2004 (replaces No. 158, September 1995). Guidelines for diagnostic imaging during pregnancy. Obstet Gynecol 2004;104(3):647–51.
24. Yamazaki JN, Schull WJ. Perinatal loss and neurological abnormalities among children of the atomic bomb. Nagasaki and Hiroshima revisited, 1949 to 1989. JAMA 1990;264(5):605–9.
25. Kinlen LJ, Acheson ED. Diagnostic irradiation, congenital malformations and spontaneous abortion. Br J Radiol 1968;41(489):648–54.
26. Streffer C, Shore R, Konermann G, et al. Biological effects after prenatal irradiation (embryo and fetus). A report of the International Commission on Radiological Protection. Ann ICRP 2003;33(1-2):5–206.
27. Harris BS, Bishop KC, Kemeny HR, et al. Risk factors for birth defects. Obstet Gynecol Surv 2017;72(2):123–35.
28. Quenby S, Gallos ID, Dhillon-Smith RK, et al. Miscarriage matters: the epidemiological, physical, psychological, and economic costs of early pregnancy loss. Lancet 2021;397(10285):1658–67.
29. Ahmad AS, Ormiston-Smith N, Sasieni PD. Trends in the lifetime risk of developing cancer in Great Britain: comparison of risk for those born from 1930 to 1960. Br J Cancer 2015;112(5):943–7.
30. Pfalzner PM. Sievert, gray and dose equivalent. J Can Assoc Radiol 1983;34(4):298–300.
31. Mettler Jr FA, Huda W, Yoshizumi TT, Mahesh M. Effective doses in radiology and diagnostic nuclear medicine: a catalog. Radiology 2008;248(1):254–63.
32. Thorne R, Foreman NK, Mott MG. Radon in Devon and Cornwall and paediatric malignancies. Eur J Cancer 1996;32A(2):282–5.
33. Kumar R, De Jesus O, et al. Radiation effects on the fetus. StatPearls [Internet] Treasure Island (FL), USA; StatPearls Publishing; 2023.
34. Wong YN, Koh CWY, Lew KS, et al. A review on fetal dose in radiotherapy: A historical to contemporary perspective. Phys Med 2023;105:102513.
35. Wakeford R, Little MP, Kendall GM. Risk of childhood leukemia after low-level exposure to ionizing radiation. Expert Rev Hematol 2010;3(3):251–4
36. Schull WJ. Effects of atomic radiation: a half-century of studies from Hiroshima and Nagasaki. New York, USA; Wiley-Liss; 1995.
37. He M, Lin X, Lei M, et al. The identification of pregnant women with renal colic who may need surgical intervention. BMC Urol 2022;22(1):30.
38. Chen X, Yang Y, Chen L, Wang K. Pregnancy outcomes and birth defects in offspring following Non-steroidal anti-inflammatory drugs exposure during pregnancy: a systematic review and meta-analysis. Reprod Toxicol 2024;125:108561.
39. Bookstaver PB, Bland CM, Griffin B, et al. A review of antibiotic use in pregnancy. Pharmacotherapy 2015;35(11):1052–62.
40. Swartz MA, Lydon-Rochelle MT, Simon D, et al. Admission for nephrolithiasis in pregnancy and risk of adverse birth outcomes. Obstet Gynecol 2007;109(5):1099–104.
41. Chan K, Shakir T, El-Taji O, et al. Management of urolithiasis in pregnancy. Curr Urol 2023;17(1):1–6.
42. Di Bello F, Califano G, Morra S, et al. Urological challenges during pregnancy: current status and future perspective on ureteric stent encrustation. J Clin Med 2024;13(13):3905.
43 ACOG Committee Opinion No. 474: nonobstetric surgery during pregnancy. Obstet Gynecol 2011;117(2 Pt 1):420–1.
44. Deters LA, Dagrosa LM, Herrick BW, et al. Ultrasound guided ureteroscopy for the definitive management of ureteral stones: a randomized, controlled trial. J Urol 2014;192(6):1710–13.
45. Juliebø-Jones P, Beisland C, Gjengstø P, et al. Ureteroscopy during pregnancy: Outcomes and lessons learned over 4 decades at a tertiary center in Norway. Curr Urol 2023;17(1):7–12.
46. Juliebø-Jones P, Somani BK, Baug S, et al. Management of kidney stone disease in pregnancy: a practical and evidence-based approach. Curr Urol Rep 2022;23(11):263–70.
Declaration of competing interests: None declared.


