Latest Contribution
Modern management of small renal masses
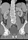
With the advent of widespread cross-sectional imaging there has been a surge in incidental detection of small renal masses (SRMs) and renal cell carcinoma (RCC) is now the seventh most common cancer in the UK. Whilst surgical excision for larger...

 
  
			
 
        