Latest Contribution
Challenges of upper tract urothelial carcinoma
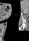
Upper tract uroepithelial carcinoma (UTUC) is a fairly common disease which traditionally had poorer outcomes compared to bladder cancer. This is due to various factors leading to delayed diagnosis and problems in risk stratification. Continuing efforts have focused on early...

