Latest Contribution
Imaging and surveillance in sporadic renal angiomyolipoma: how and when to monitor effectively
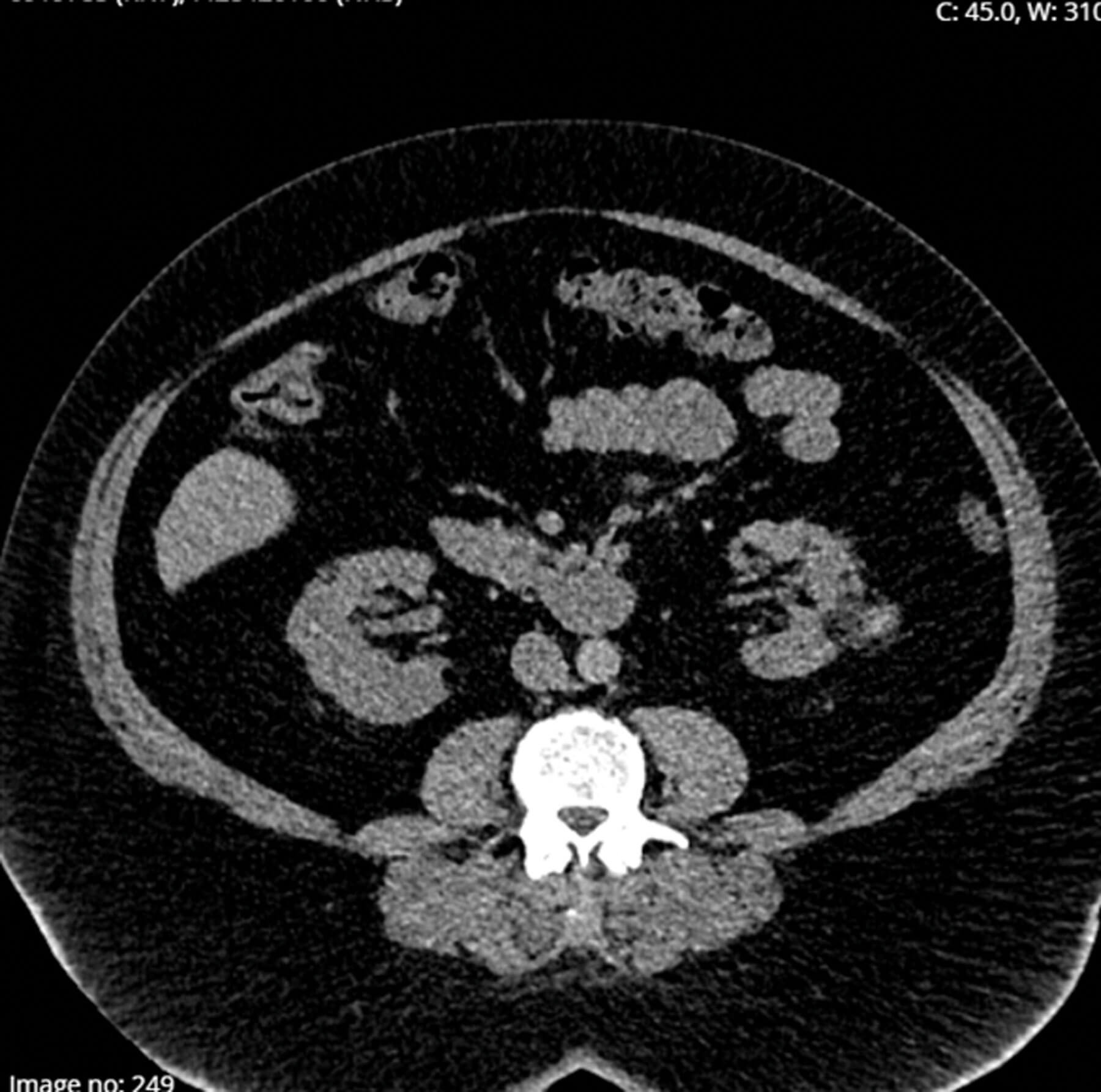
Renal angiomyolipoma (AML) are benign tumours, accounting for approximately 2–3% of all renal neoplasms [1]. Seventy percent of renal AMLs are sporadic, and 20–30% are associated with genetic aetiology. They are composed of smooth muscle, blood vessels, and adipose tissue....
Systematic reviews and meta-analysis – a stepwise approach
As per Cochrane definition (2013), a systematic literature review (SR) attempts “to identify, appraise and synthesize all the empirical evidence that meets pre-specified eligibility criteria to answer a given research question” [1]. A meta-analysis (MA) is a statistical assessment of...
Medical statistics for urologists: part 3 – diagnostic testing
Following on from the first two parts of this series (see Part 1 here, and Part 2 here), this final article aims to demonstrate how the theory of statistics applies to medical diagnostics. Probability in diagnostic testing Diagnostic tests refer...

