Nightmare Cases archive for May 2021
Demanding cases or nightmares in uro-oncology? May/Jun 2021
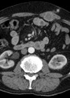
It’s not in the bag until it’s out of the abdomen: abdominal wall recurrence after ruptured retrieval bag during robot-assisted partial nephrectomy We present a case of failure of a specimen retrieval bag during a robot-assisted partial nephrectomy resulting in...

