Nightmare Cases
Demanding cases or nightmares in endourology? Nov/Dec 2017
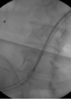
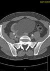
Case 1 A 78-year-old male was transferred from a referring hospital. He had a cystectomy and ileal conduit performed 15 years previously and had recently been admitted with a clinical diagnosis of an infected obstructed kidney. The referring hospital had...
Demanding cases or nightmares in endourology? May/June 2017
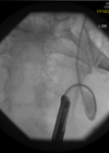
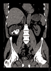
In the sixth article in this series the authors describe endourology nightmares involving ileal conduits and calculi. Case 1 A 69-year-old man who had a cystectomy and ileal conduit for muscle invasive bladder cancer, presented with an acute kidney injury...
Demanding cases or nightmares in endourology? Jan/Feb 2017
In the fifth article in this series the authors describe some of the most complex cases they have encountered. Case 1 A 45-year-old woman was admitted under the care of the medical team with shortness of breath, renal failure and...
Demanding cases or nightmares in endourology? Sep/Oct 2016
In this issue the authors will present once in a career cases that can truly haunt a urologist. “Mistakes are like bad loves, the more you learn from them, the more you wish they’d never happened. “ Gregory David Roberts*...
Demanding cases or nightmares in endourology? May/Jun 2016
In the third article in this series the authors describe their experience with the very rare indications for laparoscopic stone surgery. Case 1 A 44-year-old woman presented with several months of malaise and right flank pain. A CT scan demonstrated...
Demanding cases or nightmares in endourology? Jan/Feb 2016
The second article in this series of challenging cases in endourology describes some stent-related problems. Case 1 A 76-year-old male with end stage renal failure due to obstructive uropathy from benign prostatic enlargement was transferred from a referring hospital. A...
Demanding cases or nightmares in endourology? Sep/Oct 2015
One of the most interesting aspects of attending international meetings is the rare but invaluable, honest presentation of complex cases. We aim to present the readers with some complex and challenging ongoing cases in endourology. Case 1 A general practitioner...

