Latest Contribution
Use of MRI in the evaluation of prostate cancer: part 1
Introduction Prostate cancer remains the most commonly diagnosed cancer in males and the second leading cause of cancer related deaths in UK men, after lung cancer [1]. The incidence of prostate cancer in the UK has shown a rapid increase...
Use of bone windows in urological CT
Introduction Unenhanced computed tomography of kidneys, ureter and bladder (CTKUB) is the recommended gold standard investigation in patients with acute renal colic. CT urography is now a commonly used technique in the investigation of haematuria, for surgical planning and for...
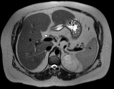
Assessment of the incidental adrenal lesion
Introduction The adrenal glands are seen on CT or MRI surrounded by fat in the peri-renal space. The right adrenal gland lies medial to the right lobe of the liver, lateral to the right crus of the diaphragm and superior...

