Case Reports archive for 2024
Congenital buried penis – an extremely rare entity
Congenital non-visualisation of penis is a rare form of buried penis. It affects the functional and psychological behaviour of the affected child. Most of the cases in literature are secondary in nature like post circumcision, post trauma and due to...
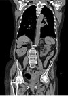
Post radical nephrectomy presenting with skull metastasis
We present the case of an 83-year-old female who underwent right radical nephrectomy for renal cell carcinoma (RCC). Despite negative surgical margins, the patient presented with a skull metastasis six years post radical nephrectomy. This case highlights the importance of...

