Case Reports
Urine leak post partial nephrectomy: a case for lower tract before upper tract
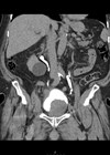
Partial nephrectomy has become the standard of care in the management of small renal masses. It is a vital tool in maximising nephron preservation and oncological control for patients. It has been shown to produce equivalent oncological outcomes to radical...
Neuroendocrine bladder tumour
A 75-year-old male with a history of prostate adenocarcinoma (T3b/T4 N1 M1b, Gleason 4+3) on Zoladex® and enzalutamide, presented with visible haematuria. His prostate specific antigen (PSA) had decreased from 43.6ug/L in December 2022 to 0.02ug/L. He also had a...
Post radical nephrectomy presenting with skull metastasis
We present the case of an 83-year-old female who underwent right radical nephrectomy for renal cell carcinoma (RCC). Despite negative surgical margins, the patient presented with a skull metastasis six years post radical nephrectomy. This case highlights the importance of...

