Latest Contribution
Intelligent triage: improving outpatient efficiency
Background Improving outpatient (OP) efficiency and service structure is of paramount importance as the NHS seeks to manage ever increasing demand in the wake of the COVID-19 pandemic. As we re-establish services and attempt to clear the backlog, new ways...
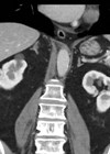
Renal masses
Case 1 A 70-year-old female presented under the medical team with malaise, weight loss, and deranged liver function tests (LFTs) and calcium (ALP 350, GGT 650, Serum bilirubin 29, normal aminotransferases, Ca 3.3). An abdominal ultrasound scan (USS) was performed...

