
From Peyronie to Foley: the backstories behind the urology legends
Eponyms play a significant role in the field of urology, serving as a bridge between historical medical discoveries and modern clinical practice. For urology trainees, understanding these eponyms is more than just memorising names; it enriches our grasp of key...
Full DetailsUrology around the world: Pioneering paths – my journey as the first and only Italian female urologist in the Muslim world
Maria Colavita. As the first and only Italian female urologist practising in the Muslim world, my journey has been shaped by ambition, grief, cultural curiosity, and ultimately, profound transformation. What began with an unexpected invitation has become a story of...
Full Details-
Set in the stunning resort of La Plagne, the 2026 Winter Meeting will offer a week of expert-led updates across general and specialist urology. Running annually since 1981, this popular event is designed for generalists seeking to enhance their knowledge in a relaxed, collegial environment.
-
The first national meeting in collaboration with Lady Garden Foundation to address the unique challenges in the diagnosis, treatment and management of cancer of the vulva.
British VC to Nazi SS – the story of a cystoscope
In this series of articles, I am going to show you some of the exhibits contained in the Museum of Urology, hosted on the BAUS website (www.baus.org.uk). Part of the joy of studying the history of urology is the detective...
Full DetailsUrolink: past, present, future
The mission of Urolink, a sub-committee of the British Association of Urological Surgeons (BAUS) since 1996, has been: “To promote and encourage the provision of appropriate urological expertise and education worldwide, with particular emphasis on the materially disadvantaged.” The importance...
Full Details-
Matthew Bultitude. Can you tell us a little bit about what led you into...
-
Carmel Ramage. Can you tell us a little bit about what first attracted you...
-
Have I got an exciting opportunity for you! A job I’ve been doing for...
-
An exciting opportunity has arisen for a Full time Band 7 Urology Nurse Specialist...
-
SmashUrology is an online educational platform developed specifically to support urology trainees preparing for...
-
Prostate Scotland has appointed Peter Proud, Founder and CEO of Edinburgh-based digital technology company...
-
Managing Sexual Side Effects After Prostate Cancer: A Patient & Therapist Perspective Date: 20...
-
Prostate Scotland notes the recommendation from the UK National Screening Committee (NSC) on Friday...
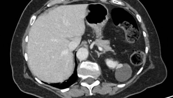
Advanced renal tumours
Case 1 A 67-year-old gentleman underwent a CT scan after presenting with visible haematuria and weight loss. His comorbidities include hypertension, type II diabetes mellitis and hypercholesterolaemia. He is a smoker. Figure 1. Figure 2. What do Figures 1 and...
Full DetailsAmbient scribes: the silent revolution
Clinical practice is in the midst of a profound digital transformation with a new wave of technology gaining increasing prominence: ambient scribes. These AI-powered tools streamline documentation by converting doctor–patient conversations into structured clinical notes in near real time. Healthcare...
Full DetailsProduct Guide
-
Partial nephrectomy has become the standard of care in the management of small renal...
-
A 75-year-old male with a history of prostate adenocarcinoma (T3b/T4 N1 M1b, Gleason 4+3)...
-
Congenital non-visualisation of penis is a rare form of buried penis. It affects the...
-
Most testicular cancers present with a painless lump on the testes, and most are...
-
Radical surgical treatment of prostate cancer has become minimally invasive owing to robotic assisted...
-
Treatment of prostate cancer in renal transplant recipients is challenging due to a lack...

























