Spot Tests archive for 2026
Urolithiasis 3 – renal stones and ureteroscopy
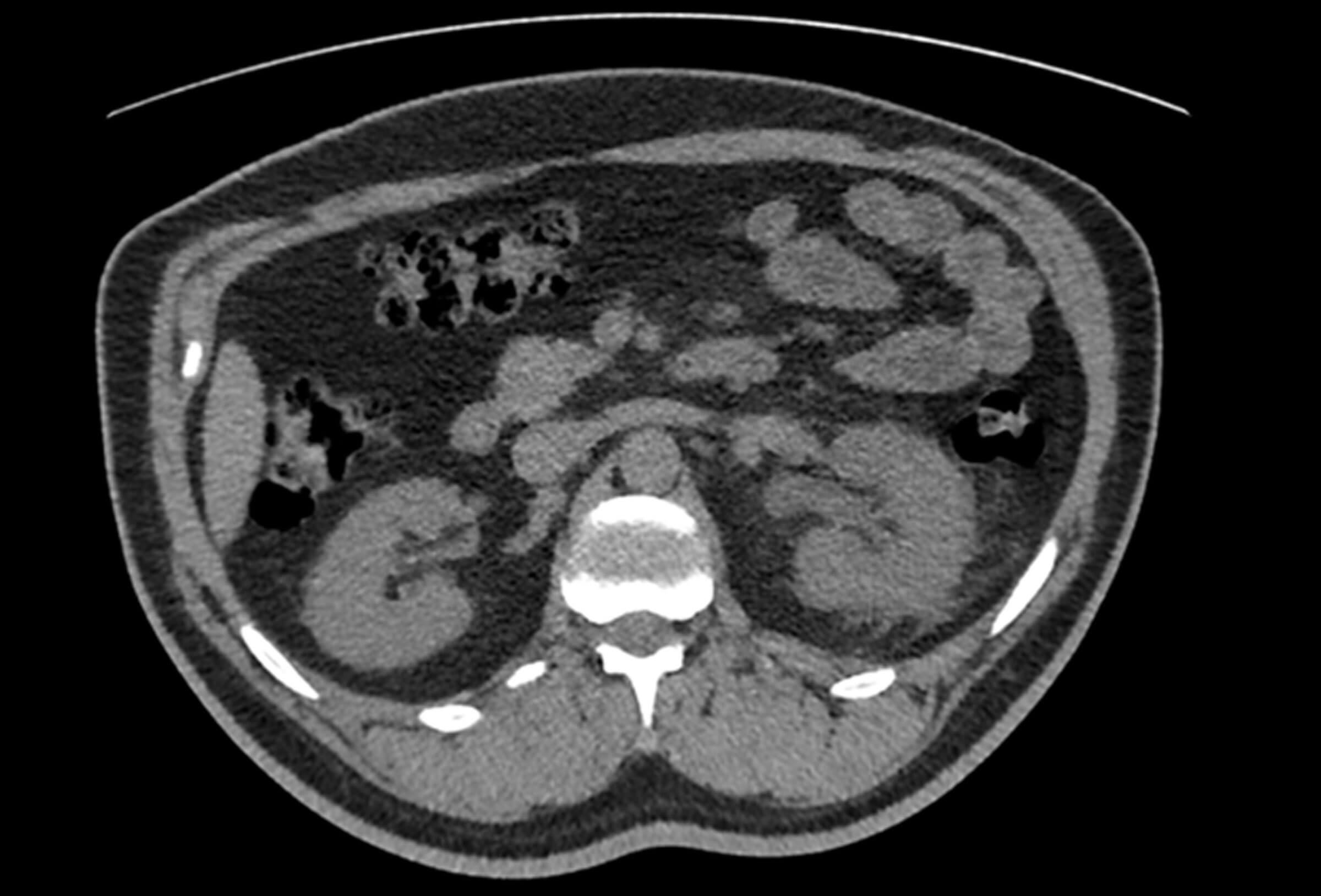
- Click for Part 1 and Part 2 on this topic - Case scenario A 36-year-old man with a known renal stone attends your stone clinic following a surveillance CT KUB with worsening intermittent right flank pain. Figures 1 and...
Urolithiasis 2 – extracorporeal shockwave lithotripsy
- Click for Part 1 and Part 3 on this topic - Case scenario A 37-year-old male presents to A&E with 12 hours of intermittent, severe, left-sided loin to groin pain and multiple episodes of vomiting. Urine dipstick shows 2+...
Urolithiasis 1 – ureteric colic
- Click for Part 2 and Part 3 on this topic - Case scenario A 45-year-old male presents to Accident & Emergency with two days of intermittent, severe, left-sided loin to groin pain and multiple episodes of vomiting. He undergoes...

