Spot Tests
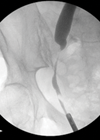
Urolithiasis 2 – extracorporeal shockwave lithotripsy
- Click for Part 1 on this topic - Case scenario A 37-year-old male presents to A&E with 12 hours of intermittent, severe, left-sided loin to groin pain and multiple episodes of vomiting. Urine dipstick shows 2+ blood but no...
Urolithiasis 1 – ureteric colic
- Click for Part 2 on this topic - Case scenario A 45-year-old male presents to Accident & Emergency with two days of intermittent, severe, left-sided loin to groin pain and multiple episodes of vomiting. He undergoes imaging as part...
Kidney stones in pregnancy
Case 1 A 28-year-old female, 19 weeks pregnant, presents with severe left loin pain. There is no past medical history of note. Blood tests show a white cell count of 14.1x109/L and creatinine of 56umol/L. An ultrasound scan (USS) reports...
Urolithiasis – metabolic considerations
Case 1 A 32-year-old female patient is diagnosed with a ureteric calculus for the first-time. What type of metabolic evaluation investigations should be performed? When should stone analysis be repeated? What are the most common metabolic abnormalities associated with calcium...
Urinary tract stones
Case 1 What does this plain X-ray of kidneys, ureters and bladder (KUB) show? What, according to the 2009 The National Institute for Health and Care Excellence (NICE) guidelines, is the most appropriate first-line treatment? What factors do the NICE...
The adrenals
Case 1 A 45-year-old man undergoes a CT of his abdomen to stage a newly diagnosed bowel malignancy. What does the scan show? What findings on a CT scan suggest an adrenal lesion is benign? If the CT scan is...
Nephrocalcinosis
Case 1 What does this x-ray of the kidney, ureter and bladder (KUB) show? What are the likely causes? What is the pathology behind medullary sponge kidneys (MSK)? What is the risk of urolithiasis with MSK? How are such patients...
Testicular cancer (Jan 2016)
Case 1 A 26-year-old male presented with a two-week history of testicular pain and swelling. On examination the right testicle was enlarged, indurated and tender. Erythema of the scrotum on that side was also noted. Ultrasound of the testis reported...
Testicular cancer (Mar 2015)
Case 1 What does the ultrasound show? What further imaging does this patient require? Which tumour markers should be checked? What is the half-life of these markers? What does an elevation in these markers mean? Case 2 What is this...
Technology – Part 3
Case 1 Figure A. Figure B. What is shown in figures A and B? What is the diameter of each scope? What is the working channel size of each? What are the advantages of a digital versus optic flexible ureteroscope?...
Technology – Part 2
Case 1 Name the machine shown in the picture and describe how it works. What is the standard frequency of ultrasound waves in this machine? What frequency of ultrasound waves are utilised in an abdominal and scrotal ultrasound? Case 2...
Technology – Part 1
Case 1 What is this and what material is it made from? What property of the catheter does the size refer to? What is the relationship between French size and diameter? What is a biofilm? How can you reduce catheter...

