Spot Tests
Uropathology: what’s the diagnosis?
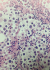
Case 1 A 28-year-old man presented with a left testicular mass. Tumour markers were taken and he went on to have a radical inguinal orchidectomy. The specimen and histology are shown. Which testicular tumour markers were taken? What does their...
I wasn’t expecting that! A series of unexpected radiology findings
Case 1 A 76-year-old diabetic man with a long-term catheter presents to the Emergency Department with rigors and non-specific abdominal pain. He has an elevated white cell count (WCC) and C-reactive protein (CRP). An abdominal and pelvic CT scan was...
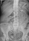
Nephrocalcinosis
Case 1 What does this x-ray of the kidney, ureter and bladder (KUB) show? What are the likely causes? What is the pathology behind medullary sponge kidneys (MSK)? What is the risk of urolithiasis with MSK? How are such patients...
Clinical Trials 2 – key papers
Clinical Trials 1 is available here. Case 1 This British study on haematuria clinic diagnostic yield was published in the British Journal of Urology International in 2006. The results are often asked in examinations! Edwards TJ, et al. A prospective...
Clinical trials 1
Clinical Trials 2 is available here. Case 1 1. What are the levels of clinical evidence based on the 2009 definitions from the ‘Oxford CEBM’? 2. What is the null hypothesis? 3. What are type 1 and type 2 errors?...
Retroperitoneal sepsis
Case 1 An 80-year-old woman presented with history of recurrent and recent cystitis, low grade pyrexia, abdominal and back pain, and pain on movement of the left hip which was observed to be flexed and externally rotated. What is the...
Andrology (2016)
Case 1 Image A. Image B. Who is the mythological figure depicted in image A and how does he relate to a urological emergency? Define priapism and list five causes. In the context of a patient presenting with priapism, what...
Bladder outlet obstruction
Case 1 Define the zonal anatomy of the prostate: A, B and C What is the significance of Zone A and Zone C? Clasify the types of lower urinary tract symptoms (LUTS) Which investigations should be routinely undertaken for a...
Imaging and radiology
Case 1 What radiological test is this and what does it show? What is the typical radio-nucleotide used for this study, what is its half-life and how is it excreted? Approximately how long does this study take to perform? What...
Testicular cancer (Jan 2016)
Case 1 A 26-year-old male presented with a two-week history of testicular pain and swelling. On examination the right testicle was enlarged, indurated and tender. Erythema of the scrotum on that side was also noted. Ultrasound of the testis reported...
Urological trauma – part 2
Part 1 of this topic is available here. Case 1 A 29-year-old male was attacked and kicked in his left flank. He presented to the emergency department with left flank pain and frank haematuria. He remained haemodynamically stable. 1. What...
Urological trauma – part 1
Part 2 of this topic is available here. Case 1 A 45-year-old male presented with acute onset abdominal pain following a fall whilst out drinking. A CT cystogram was arranged as he developed haematuria and acute renal impairment. 1. What...

