Spot Tests
Paediatric urology – peno-scrotal
Case 1 A four-year-old boy presents to clinic following GP referral unable to retract the foreskin (Figure 1). Figure 1. What is the diagnosis? The above condition may be pathological or physiological; clinically how can you differentiate this? Explain the...
Andrology (2020)
Case 1 What is the diagnosis based on the blood test, and how is the diagnosis made? What additional blood tests are required? What are the clinical manifestations of this? What are the options / modes of delivery for treatment?...
Urinary tract stones
Case 1 What does this plain X-ray of kidneys, ureters and bladder (KUB) show? What, according to the 2009 The National Institute for Health and Care Excellence (NICE) guidelines, is the most appropriate first-line treatment? What factors do the NICE...
Bladder cancer
Case 1 A 78-year-old female presents with a week history of painless haematuria. She’s a smoker and used to work in the textiles industry. She underwent a flexible cystoscopy. What does this image show? What are the two-week wait National...
Urethral pathology
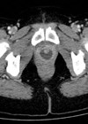
Case 1 A 43-year-old lady presents with urinary incontinence and vaginal pain associated with intercourse. An initial CT scan is performed. Case courtesy of Radswiki, Radiopaedia.org, rID: 12056. Case courtesy of Radswiki, Radiopaedia.org, rID: 12056 What is the clinical diagnosis...
Infections and inflammation: Part 3
See also Part 1 and Part 2 Case 1 You review a man in the Emergency Department with scrotal pain and sepsis. His clinical examination findings are shown. What does this image show? Who was this condition named after? What...
Infections and inflammation: Part 2
See also Part 1 and Part 3. Case 1 A 43-year-old lady presented to the urologist with a history of pain during bladder filling and associated frequency / urgency. She underwent standard microbiological and radiological investigations that are normal. She...
Infections and inflammation: Part 1
See also Part 2 and Part 3. Case 1 A 59-year-old man presented with right loin pain. His GP arranged for him to have an intravenous urogram (IVU) and subsequent CT urogram performed. What is the likely diagnosis? What are...
Sexually transmitted infections
Case 1 A 27-year-old man presents to the clinic with multiple asymptomatic penile lesions. 1. What is the diagnosis? 2. What are the likely pathogens which cause these lesions? 3. What treatment options are available to treat these lesions? 4....
The adrenals
Case 1 A 45-year-old man undergoes a CT of his abdomen to stage a newly diagnosed bowel malignancy. What does the scan show? What findings on a CT scan suggest an adrenal lesion is benign? If the CT scan is...
Uropathology: what’s the diagnosis?
Case 1 A 28-year-old man presented with a left testicular mass. Tumour markers were taken and he went on to have a radical inguinal orchidectomy. The specimen and histology are shown. Which testicular tumour markers were taken? What does their...
I wasn’t expecting that! A series of unexpected radiology findings
Case 1 A 76-year-old diabetic man with a long-term catheter presents to the Emergency Department with rigors and non-specific abdominal pain. He has an elevated white cell count (WCC) and C-reactive protein (CRP). An abdominal and pelvic CT scan was...

